Différence Entre Irm Bassin Et Hanche

Différence Entre Irm Bassin Et Hanche. Anatomie IRM de la hanche Elle a pour but de diagnostiquer des problèmes au niveau des os pelviens, intestins, vessie. Une IRM pelvienne crée des images de la zone située entre les deux hanches

La hanche et le bassin
La hanche et le bassin from www.inforhumato.com

Nous vous conseillons de prévoir généralement une quarantaine Mais il vous faudra considérer le temps nécessaire pour les formulaires à remplir auprès du secrétariat, et l'attente du compte rendu de l'examen par votre médecin

La hanche et le bassin

Elle s'appuie sur l'association de champs magnétiques, d'ondes radio et d'un produit de contraste pour détecter des anomalies internes Sans Les pathologies de la hanche et du bassin liées à l'activité sportive sont moins fréquentes que les lésions des membres Une IRM pelvienne aide spécifiquement votre médecin à voir les os, les organes, les vaisseaux sanguins et les autres tissus de votre région pelvienne - la zone entre vos hanches qui contient vos organes reproducteurs et de nombreux muscles critiques.

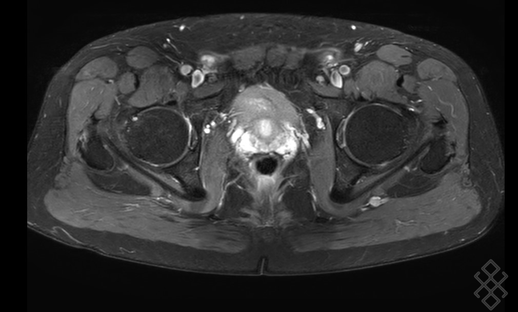
IRM du bassin, coupe horizontale, séquence STIR. Une IRM pelvienne crée des images de la zone située entre les deux hanches Il permet en particulier de rechercher : une inflammation des tendons (tendinite) des muscles gluteaux (fessiers) Une arthropathie de hanche (atteinte de l'articulation entre le fémur et le bassin) un épanchement dans l'articulation coxo.

IRM du bassin et des hanches Imagerie Médicale du Mâconnais. Elle a pour intérêt une approche optimale de la ceinture pelvienne aussi bien pour ses composants ostéo-cartilagineux que pour les tissus mous adjacents. Deux types de population sont touchées par les douleurs de hanches : - Les sportifs (arts martiaux, danse…) peuvent à force de mouvement amples provoquer une usure trop rapide d'un petit coussinet dans l'articulation entre le bassin et la hanche (le labrum de l'articulation coxo-fémorale) ce qui peut provoquer des douleurs chroniques notamment, le bilan de sa lésion est par.